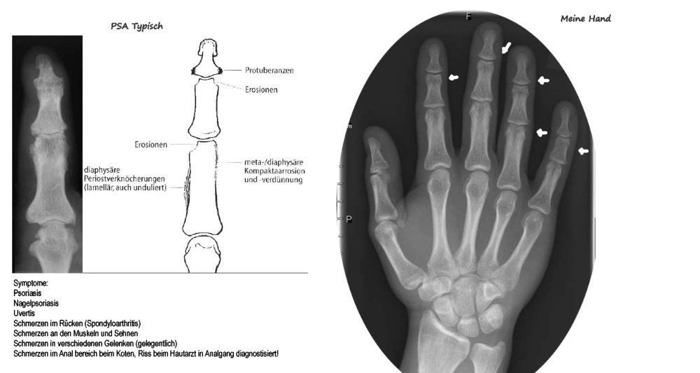
PSA? Wer kennt sich aus?
-
Auch interessant
Hallo zusammen, seit meiner Kindheit habe ich PSO, die einige Jahre abgeflaut war und in meinen Zwanzigern wieder...Ich habe seit 3 Monaten einen anhaltenden Schub, dem ich nicht beikomme. Cortison und die anderen Medis der Ärzte neh...Guten Morgen zusammen, seit einiger Zeit beobachte ich, dass auf Tage mit starken Schmerzen in meinen Sehnen und...Hallo in die Runde, ich leide seit etwa 10 Jahren an Psoriasis-Arthritis (PSA). Vor drei Jahren begann ich mit de...

Empfohlene Beiträge
Erstelle ein Benutzerkonto oder melde dich an, um zu kommentieren
Du musst ein Benutzerkonto haben, um einen Kommentar verfassen zu können
Benutzerkonto erstellen
Neues Benutzerkonto für unsere Community erstellen. Es ist einfach!
Neues Benutzerkonto erstellenAnmelden
Du hast bereits ein Benutzerkonto? Melde dich hier an.
Jetzt anmelden